STUDIO MEDICO DENTISTICO Dr. GIANFRANCO CACCIABUE
STUDIO MEDICO DENTISTICO  Dr. GIANFRANCO CACCIABUE

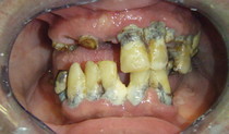
LA PARODONTITE O PIORREA

IL  TRUCCO PER GUARIRE O CONTROOLARE I DANNI DELLA PIORREA è ...

NON ARRIVARE TROPPO TARDI  !

PARODONTITE COME SI CURA

LA TERAPIA DELLA PARODONTITE SI EFFETTUA  CON  DIVERSE TECNICHE  CHE DIPENDONO DALLA GRAVITA' DEL CASO E DALLA SUA " ANZIANITA' ".

 

LE FASI INIZIALI DELLA TERAPIA, TUTTAVIA, SONO LE STESSE PER TUTTI I CASI DAI PIU' LIEVI ED INIZIALI AI PIU' GRAVI.

 

CONSISTONO  IN

  1. SCALING ED IGIENE ORALE
  2. RIMOZIONE DI TUTTI I FATTORI PREDISPONENTI ED AGGRAVANTI
  3. LASER TERAPIA
  4. RIEQUILIBRIO DELLA OCCLUSIONE
  5. MANTENIMENTO

NEI CASI LIEVI ED INIZIALI

LO SCALING E L'IGIENE ORALE MOLTO SPESSO SONO SUFFICENTI A FAR RECEDERE LA PATOLOGIA PARODONTALE FINO ALLA GUARIGIONE.

IL PAZIENTE DOVRA' COMUNQUE SOTTOPORSI SEMPRE A VISITE DI CONTROLLO ED A SEDUTE DI IGENE ORALE.

NEI CASI GRAVI ED AVANZATI SI RICORRE OVVIAMENTE A TECNICHE PIU' COMPLESSE O IN CASO DI IMPOSSIBILITA' DI RECUPERO, SI PROCEDE ALLA ESTRAZIONE DEGLI ELEMENTI COMPROMESSI ED ALLA SOSTITUZIONE CON PROTESI  CON IMPIANTI O MENO.

 

Al fine di ottenere la totale remissione dallo stato infettivo-infiammatorio, proprio della parodontite, è indispensabile la presenza di 28 denti, funzionanti in maniera coerente da un punto di vista masticatorio.
In caso di mancanza di alcuni elementi, vuoi perchè persi in passato anche per altri motivi non legati alla parodontite, vuoi perchè estratti per eliminare focolai infettivi di grave entità, la riabilitazione implanto-protesica è fondamentale per una guarigione ottimale, stabile e duratura, in caso contrario si rischia di inficiare il buon esito della terapia parodontale.

Contattateci per fissare un appuntamento

Telefono

0131 260466

 

E-mail

cacciabuegianfranco@gmail.com

 

 

Indirizzo

STUDIO MEDICO DENTISTICO   DR. G.CACCIABUE  

Via Dante Alighieri n° 26

15121 alessandria  P.I.

 

 

 

 

 

 

Orari di apertura

lunedì 08.30-12.30- 14.00 16.30

dal martedì al venerdì 08.30 alle 16.30

 

 

 

INTERNET

Sito web

 

Lo STUDIO MEDICO DENTISTICO   DR. G.CACCIABUE   è in Internet. Abbiamo realizzato un sito web, grazie al quale vi teniamo sempre aggiornati su tutte le novità.


 

 
Conformità: il sottoscritto Dott. G.Cacciabue, dichiara, sotto la propria responsabilità, che il messaggio informativo è diramato nel pieno rispetto delle linee guida inerenti l'applicazione degli artt. 55, 56 e 57 del Codice di Deontologia Medica.

Privacy: Titolare trattamento dei dati Dr. G.Cacciabue


Disclaimer: si fa presente che la visita medica specialistica rappresenta il solo strumento diagnostico per un efficace trattamento terapeutico e che i consigli presenti sul sito o forniti via e-mail vanno presi come meri suggerimenti di comportamento.

Stampa | Mappa del sito
© STUDIO MEDICO DENTISTICO DR. G.CACCIABUE Via Dante n. 26 15121 Alessandria Partita IVA 02663080063 Tel. 0131 260466