STUDIO MEDICO DENTISTICO Dr. GIANFRANCO CACCIABUE
STUDIO MEDICO DENTISTICO  Dr. GIANFRANCO CACCIABUE
clicca sull'immagine

Informazioni utili

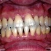
LA MALATTIA PARODONTALE

  LA PARODONTITE ( PIORREA) E' UNA MALATTIA INFETTIVA DEL PARODONTO
La parodontite è un'infezione cronica che causa una risposta infiammatoria. Se non trattata è la prima causa di perdita di denti nell'adulto e quindi fonte di grave handicap e di importante deficit funzionale. Nell'etiopatogenesi della parodontite si attribuisce grande importanza non solo agli stili di vita non corretti, come fumo e cattive abitudini di igiene orale, ma anche ad altri fattori, come la suscettibilità individuale su base genetica e la presenza di patologie sistemiche che possono accentuare gli effetti destruenti specifici. Nella parodontite, il normale equilibrio tra l'azione della placca batterica dentale e le difese immunitarie è alterato e porta ad un'imperfetta regolazione della risposta infiammatoria con conseguente aumento della distruzione del parodonto marginale. www.periomedicine.it

La prevenzione va fatta almeno una volta l'anno

La cura dei denti è fondamentale per garantire denti forti ed evitare malattie. A coloro che si lavano i denti tutti i giorni e hanno la fortuna di avere denti sani, consigliamo comunque di fissare almeno un appuntamento all'anno per sottoporsi ad una visita di prevenzione. 

Non siete sicuri quando siete stati l'ultima volta dal dentista? Chiamate lo STUDIO MEDICO DENTISTICO   DR. G.CACCIABUE   per fissare un appuntamento.

La salute dei denti influenza il cuore?

Avete altre domande e richieste?

Chiamateci allo 0131 260466 o contattateci compilando il modulo online.

 RAPPORTI tra M.Parodontale e malattie cardiovascolari   www.periomedicine.it

Studi epidemiologici hanno messo in evidenza una relazione tra parodontite, infarto miocardico ictus e mortalità. La perdita di un elevato numero di denti e la distruzione ossea rilevabile nel paziente affetto da parodontite grave, sono associate infatti ad una aumentata prevalenza di placche ateromatose carotidee., Nei pazienti con patologie infiammatorie del cavo orale, è stato osservato, inoltre, un aumento del rischio di infarto miocardico e di aterosclerosi. Studi clinici controllati indicano che il trattamento della parodontite migliora la funzione dell'endotelio. 

 

DIABETE E GRAVIDANZA

 


RAPPORTI tra M.Parodontale e diabete mellito I soggetti diabetici, in particolare quelli con un controllo glicemico non accurato, soffrono di gengivite e parodontite più frequentemente e con aspetti clinici di maggiore gravità rispetto ai soggetti non diabetici. Tale associazione è così frequente che alcuni ricercatori hanno definito la parodontite come "la sesta complicanza del diabete".
*)Rapporti tra M.Parodontale e parto prematuro Le malattie parodontali sono associate ad un aumentato rischio di nascita di bambini prematuri e/o sottopeso.Oggi, infatti, sappiamo che alcuni processi infiammatori acuti della madre, anche localizzati lontano dal tratto genito-urinario, possono svolgere un ruolo non secondario nella comparsa di alterazioni patologiche della gravidanza

Contattateci per fissare un appuntamento

Telefono

0131 260466

 

E-mail

cacciabuegianfranco@gmail.com

 

 

Indirizzo

STUDIO MEDICO DENTISTICO   DR. G.CACCIABUE  

Via Dante Alighieri n° 26

15121 alessandria  P.I.

 

 

 

 

 

 

Orari di apertura

lunedì 08.30-12.30- 14.00 16.30

dal martedì al venerdì 08.30 alle 16.30

 

 

 

INTERNET

Sito web

 

Lo STUDIO MEDICO DENTISTICO   DR. G.CACCIABUE   è in Internet. Abbiamo realizzato un sito web, grazie al quale vi teniamo sempre aggiornati su tutte le novità.


 

 
Conformità: il sottoscritto Dott. G.Cacciabue, dichiara, sotto la propria responsabilità, che il messaggio informativo è diramato nel pieno rispetto delle linee guida inerenti l'applicazione degli artt. 55, 56 e 57 del Codice di Deontologia Medica.

Privacy: Titolare trattamento dei dati Dr. G.Cacciabue


Disclaimer: si fa presente che la visita medica specialistica rappresenta il solo strumento diagnostico per un efficace trattamento terapeutico e che i consigli presenti sul sito o forniti via e-mail vanno presi come meri suggerimenti di comportamento.

Stampa | Mappa del sito
© STUDIO MEDICO DENTISTICO DR. G.CACCIABUE Via Dante n. 26 15121 Alessandria Partita IVA 02663080063 Tel. 0131 260466