STUDIO MEDICO DENTISTICO Dr. GIANFRANCO CACCIABUE
STUDIO MEDICO DENTISTICO  Dr. GIANFRANCO CACCIABUE

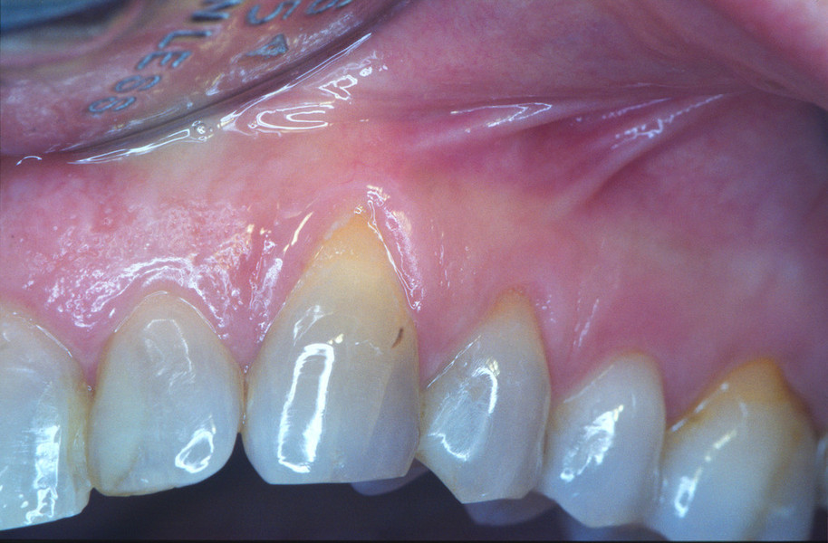
LA CHIRURGIA MUCOGENGIVALE

E ' QUELL'INSIEME DI TECNICHE CHIRURGICHE TESE AD APPORTARE DEI CAMBIAMENTI NELLA ARCHITETTURA DEI TESSUTI MOLLI, PER  OTTENERE UNA STABILIZZAZIONE DEGLI STESSI AI FINI, SIA ESTETICI, SIA  DELLA PRESERVAZIONE DELLA STABILITA' DEGLI ELEMENTI DENTARI.

ALCUNI " PRIMA E DOPO ".

Clicca sulla immagine per ingrandirla

UNA DELLE TECNICHE DI INNSTO LIBERO

Passa con il mouse sull'immagine per il testo, o clicca per ingrandirla

Contattateci per fissare un appuntamento

Telefono

0131 260466

 

E-mail

cacciabuegianfranco@gmail.com

 

 

Indirizzo

STUDIO MEDICO DENTISTICO   DR. G.CACCIABUE  

Via Dante Alighieri n° 26

15121 alessandria  P.I.

 

 

 

 

 

 

Orari di apertura

lunedì 08.30-12.30- 14.00 16.30

dal martedì al venerdì 08.30 alle 16.30

 

 

 

INTERNET

Sito web

 

Lo STUDIO MEDICO DENTISTICO   DR. G.CACCIABUE   è in Internet. Abbiamo realizzato un sito web, grazie al quale vi teniamo sempre aggiornati su tutte le novità.


 

 
Conformità: il sottoscritto Dott. G.Cacciabue, dichiara, sotto la propria responsabilità, che il messaggio informativo è diramato nel pieno rispetto delle linee guida inerenti l'applicazione degli artt. 55, 56 e 57 del Codice di Deontologia Medica.

Privacy: Titolare trattamento dei dati Dr. G.Cacciabue


Disclaimer: si fa presente che la visita medica specialistica rappresenta il solo strumento diagnostico per un efficace trattamento terapeutico e che i consigli presenti sul sito o forniti via e-mail vanno presi come meri suggerimenti di comportamento.

Stampa | Mappa del sito
© STUDIO MEDICO DENTISTICO DR. G.CACCIABUE Via Dante n. 26 15121 Alessandria Partita IVA 02663080063 Tel. 0131 260466